-
반응형반응형
폐포 미세 결석증, 폐 속에 돌이 생기는 희귀 질환
목차
1. 폐포 미세 결석증(Pulmonary Alveolar Microlithiasis)이란?
폐포 미세 결석증(Pulmonary Alveolar Microlithiasis, 이하 PAM)은 폐포(허파꽈리)에 미세한 석회화 결절이 광범위하게 형성되는 희귀 유전 질환이다. PAM은 일반적인 폐질환과는 달리 환자가 초기에 별다른 증상을 느끼지 못하는 경우가 많아, 질병이 상당히 진행된 후에야 발견되는 특징이 있다. 그러나 시간이 지남에 따라 폐 조직이 점점 굳어지고 기능이 저하되면서 호흡곤란과 폐섬유화 등의 심각한 문제를 유발할 수 있다.
이 질환은 전 세계적으로 매우 드물며, 대부분 SLC34A2 유전자 돌연변이로 인해 발생하는 것으로 알려져 있다. SLC34A2 유전자는 폐포에서 인산염을 조절하는 단백질(나트륨-인산 공동수송체, Sodium-Phosphate Cotransporter)을 생성하는데, 이 유전자가 변이 되면 폐포 내에서 인산칼슘이 정상적으로 배출되지 못하고 축적되면서 석회화 결절이 형성된다.
PAM은 점진적으로 폐 기능을 손상시키며, 심한 경우 호흡부전과 폐이식이 필요할 정도로 진행될 수 있는 난치성 질환이다. 하지만 아직까지도 효과적인 치료법이 없는 상태이며, 조기 진단과 증상 관리가 매우 중요하다. 본 글을 통해서는 PAM의 원인, 주요 증상, 진단 방법 및 현재 연구 중인 치료 방법 등을 심층적으로 다뤄보고자 한다.

2. PAM 원인과 발생 기전
PAM은 유전적 요인으로 인해 발생하는 질환으로, 대개 상염색체 열성 유전(Autosomal Recessive Inheritance) 방식으로 유전된다. 즉, 부모가 각각 변이 된 SLC34A2 유전자를 보유하고 있을 경우, 자녀가 PAM에 걸릴 확률은 무려 25%에 달한다. 이 질환이 발생하는 주요 기전은 아래와 같다.
- SLC34A2 유전자 돌연변이:
- SLC34A2 유전자는 폐포 상피세포에서 인산염을 조절하는 중요한 역할을 담당.
- 유전자가 변이되면 폐포 내 인산염이 적절히 배출되지 못해, 칼슘과 결합하여 미세한 돌(미세 결석, microliths)이 폐포에 축적.
- 시간이 지날수록 이 결절들이 점점 커지고, 폐 조직이 딱딱해지는 폐섬유화(Pulmonary Fibrosis)로 진행될 가능성이 큼.
- 질병의 진행 과정:
- 초기에는 무증상 상태가 유지되지만, 20~40대에 접어들면서 폐 기능 저하가 점차 가속화.
- 석회화가 진행됨에 따라 폐의 탄력성이 감소하고, 산소 교환 능력이 저하되면서 호흡곤란(Dyspnea), 마른기침(Dry Cough), 피로감(Fatigue) 등의 증상이 나타남.
- 최종적으로는 호흡부전(Respiratory Failure)에 이르게 되며, 산소 치료 또는 폐이식이 필요할 수 있음.
이처럼 PAM은 유전적 요인에 의해 폐 조직 내부에서 천천히 진행되는 질환이므로, 가족력이 있는 경우 조기에 유전자 검사를 통해 진단을 받는 것이 매우 중요하다.
3. PAM 주요 증상과 합병증
PAM의 가장 큰 특징은 초기에는 특별한 증상이 없거나, 매우 경미한 호흡곤란만 나타난다는 점이다. 이는 폐포 내부에서 질병이 서서히 진행되기 때문이며, 대개 20~40대에 접어들면서 뚜렷한 증상이 나타난다.
1) 주요 증상
- 점진적인 호흡곤란(Dyspnea):
- 처음에는 운동할 때만 숨이 차지만, 질병이 진행됨에 따라 점차 안정 시에도 호흡곤란이 발생할 수 있음.
- 지속적인 마른기침(Dry Cough):
- 가래가 없는 마른기침이 특징적이며, 특정 치료에도 잘 반응하지 않는 경우가 많음.
- 흉부 불편감 및 압박감:
- 폐 조직이 딱딱해지면서 흉부 압박감을 느낄 수 있음.
- 만성 피로 및 활동량 감소:
- 산소 교환 장애로 인해 만성적인 피로감이 동반될 수 있음.
2) 합병증
PAM이 심화되면 여러 가지 합병증이 발생할 수 있다.
- 폐섬유화(Pulmonary Fibrosis):
- 폐 조직이 점점 섬유화 되면서 폐 기능이 급격히 저하됨.
- 저산소증(Hypoxemia):
- 산소 공급이 원활하지 않아, 손톱이 푸르게 변하거나(청색증, Cyanosis) 만성 피로가 심해질 수 있음.
- 호흡부전(Respiratory Failure):
- 최종적으로는 호흡부전이 발생하여 산소 치료 또는 폐이식이 필요할 수 있음.
이처럼 PAM은 점진적으로 폐 기능이 저하되는 질환이므로, 조기 진단과 꾸준한 관리가 필수적이다.

4. PAM 진단 및 치료 방법
PAM의 진단은 흉부 X-ray나 CT(컴퓨터 단층촬영), 유전자 검사 등을 통해 이루어진다.
1) 진단 방법
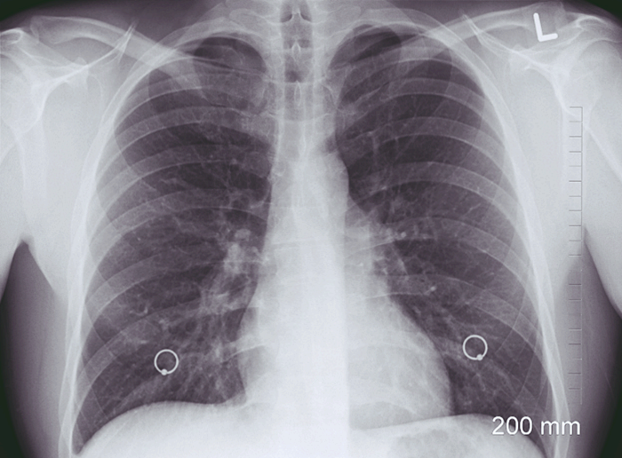
- 흉부 X-ray:
- 양쪽 폐에 미세한 석회화 결절이 광범위하게 분포된 특징적인 소견이 보임.
- 고해상도 CT(HRCT, High-Resolution Computed Tomography):
- 폐포 내 미세 석회화 결절의 정도를 더욱 명확하게 확인할 수 있음.
- 유전자 검사:
- SLC34A2 유전자 돌연변이 여부를 확인하여 확진할 수 있음.
2) 치료 방법
현재 PAM을 완치할 수 있는 치료법은 없으며, 증상 완화를 위한 보존적 치료가 주로 시행된다.
- 산소 치료(Oxygen Therapy):
- 저산소증이 심해지면 산소 공급이 필요.
- 폐이식(Lung Transplantation):
- 질병이 말기에 이르면 폐이식이 유일한 치료법이 될 수 있음.
- 신약 개발 연구:
- 최근 세포 치료 및 유전자 치료 연구가 활발히 진행되고 있으며, 향후 효과적인 치료법이 개발될 가능성이 있음.
희귀 질환이지만 조기 진단과 관리 중요
폐포 미세 결석증(Pulmonary Alveolar Microlithiasis)은 희귀한 유전성 폐 질환으로, 초기에는 무증상이지만 시간이 지나면서 점진적으로 폐 기능이 저하된다. 현재로서는 근본적인 치료법이 없다. 하지만 조기 진단을 통해 증상을 관리하고 진행을 늦추는 것이 중요하다.
폐포 미세 결석증에 대한 연구가 계속 진행되고 있으며, 향후 유전자 치료와 새로운 약물이 개발될 경우 더 나은 치료 옵션이 제공될 것으로 기대된다. 가족력이 있는 경우 정기적인 검진을 통해 조기 발견을 목표로 하는 것이 중요하다.
반응형'생활정보 > 희귀질환' 카테고리의 다른 글
폐섬유증, COPD, 천식 등과 혼동되는 폐포 미세 결석증 (0) 2025.02.13 크리글러-나자르 증후군, 빌리루빈 분해 효소 문제로 발생하는 희귀 간 질환 (0) 2025.02.13 카그라스 증후군, 자신의 가족을 가짜로 인식하는 희귀 망상 질환 (0) 2025.02.13 - SLC34A2 유전자 돌연변이: